可以把全部牙齿做成种植牙吗,牙齿缺失是现在很多人都存在的问题,很影响形象,全口无牙对我们的影响更加的大,那么,可以把全部牙齿做成种植牙吗,下面来听听郑州唯美口腔医院的介绍。

专家指出,全口无牙也可以进行种植牙手术,但不是任何人都可以做种植牙手术的,能不能进行种植牙并不取决于牙齿缺失的数目,而是取决于患者的是否符合种植牙手术的条件。
全口无牙也可以进行种植牙手术,但不是任何人都可以做种植牙手术的,能不能进行种植牙并不取决于牙齿缺失的数目,而是取决于患者的是否符合种植牙手术的条件。
郑州唯美口腔医院,唯美种植牙概况:
种植牙技术是口腔医治学疗上近年开展的新项目。是以种植材料埋植到牙槽骨内(种植体),再在其上做假牙的一种"假牙"修复方法。
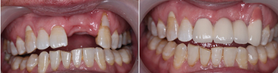
现在,唯美口腔种植牙采用更新的即刻种植技术,使这些问题得到良好的解决。该技术可以30分钟 "种"出一口美牙。并且具有拔了即种、种了即用、精确微创、快到无痛、全息可视的神奇效果。
微创即刻种植技术一经推出,即受到广大中老年患者的青睐追捧。有别于以往传统种植牙的弊端,微创即刻种植牙更具临床优势,成活率更高可达95%以上,其核心大致可总结为“快、准、精、微’四个字。”
1、即拔即种、5-10分钟、一次成型
2、精确定位、精确植入、无缝对接
3、精、细节精微、环节精细、技巧精湛
4、微小切口、微创无痛、快速愈合
可以把全部牙齿做成种植牙吗,以上就是郑州唯美口腔医院对“可以把全部牙齿做成种植牙吗”的简单介绍,如还有什么疑问,可以点击我们的在线专家,我们将为您详细的解答。
唯美口腔连锁·汇聚实力专家
唯美口腔连锁·品牌资讯